De mai bine de un an, Diane Hunter, în vârstă de 72 de ani acum, a avut simptome vagi – dureri în coloana vertebrală și șolduri, greață, epuizare, sete și urinare frecventă. Medicul ei de familie a exclus diabetul înainte de a atribui în cele din urmă durerile ei procesului de îmbătrânire.
Dar luni de dureri intense în spate au dus-o în cele din urmă la camera de urgență, unde un doctor a sugerat că Hunter ar putea avea mielom multiplu. Prima întrebare a lui Hunter a fost: „Ce este asta?”
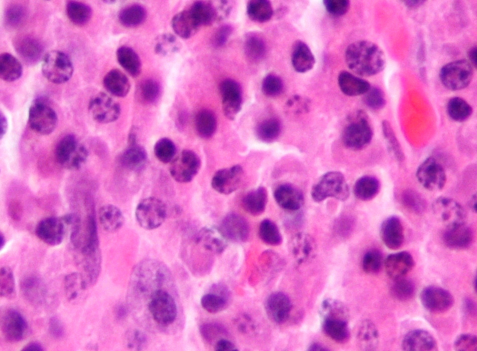
Mielomul multiplu este o formă de cancer care se dezvoltă în celulele plasmatice ale măduvei osoase, înlocuind celulele sanguine sănătoase și deteriorând oasele. Este unul dintre cele mai comune cancere sanguine – și cel mai diagnosticat în rândul afro-americanilor.
Rata de mortalitate din cauza mielomului multiplu este, de asemenea, mai mare în rândul pacienților afro-americani decât în rândul persoanelor albe, cu mai multe studii arătând că, pe lângă biologia bolii, factori sociali precum statutul socio-economic și lipsa accesului la asigurare de sănătate sau servicii medicale întârzie diagnosticările timpurii.
Un diagnostic întârziat este ceea ce i s-a întâmplat lui Hunter, o femeie de culoare din Montgomery, Alabama. Ea a spus că medicul ei de familie a respins recomandarea endocrinologului să o trimită la un hematolog după ce a descoperit niveluri ridicate de proteină în sângele ei. Apoi, a spus ea, el a refuzat și să ordone o biopsie de măduvă osoasă după ce doctorul de la camera de urgență a sugerat că ar putea avea mielom multiplu. Supărată, a spus ea, a găsit un medic nou, s-a testat și a aflat că într-adevăr a avut boala.
Monique Hartley-Brown, un cercetător de mielom multiplu la Institutul de Cancer Dana-Farber din Boston, a spus că experiența lui Hunter este destul de comună, în special printre pacienții de culoare care trăiesc în comunități defavorizate.
„În medie, pacienții își văd medicul de familie de trei ori înainte de a fi diagnosticați corect,” a declarat Hartley-Brown. „Întârzierea de la debutul simptomelor până la diagnostic este chiar mai lungă pentru americani de culoare. Între timp, boala provoacă ravagii – cauzând fracturi, anemii severe, oboseală, scădere în greutate, probleme renale.”
Pacienții de culoare și hispanici sunt, de asemenea, mai puțin susceptibili să primească cele mai noi terapii, conform Fundației pentru Cercetarea Mielomului Multiplu, iar atunci când o fac, sunt mai susceptibili să o facă mai târziu în evoluția bolii lor decât pacienții albi.
O analiză publicată în 2022 a disparităților rasiale și etnice în cadrul studiilor clinice de aprobare a medicamentelor pentru mielomul multiplu trimise la FDA a concluzionat că pacienții de culoare reprezentau doar 4% dintre participanți, în ciuda faptului că constituie aproximativ 20% dintre cei care trăiesc cu boala.
Acum, chiar dacă s-au făcut progrese semnificative în înțelegerea biologiei mielomului multiplu și a modului de tratament, aceste discrepanțe rasiale ar putea crește în contextul reducerilor federale în cercetarea cancerului.

Editor RevistaSanatatii.ro. Isi doreste ca activitatea lui sa aduca speranta milioanelor de oameni bolnavi din Romania, sa le aline suferintele si sa le ofere speranta.









